When to Schedule Wisdom Tooth Removal in Inglewood (and What to Expect)
Wisdom tooth removal is a common dental procedure, but knowing when to schedule it can make a significant difference in your comfort, recovery, and long-term oral health. Many patients in Inglewood begin to consider removal when they experience pain, swelling, or crowding, while others are advised to remove wisdom teeth before problems develop. Timing often depends on factors such as age, tooth position, and whether the teeth are impacted or causing damage to surrounding teeth. Understanding the right time to act helps prevent complications and supports a smoother recovery process.
At PhD Dental, we help patients in Inglewood determine the best time to schedule wisdom tooth removal based on their individual needs and oral health goals. We take a personalized approach by evaluating your symptoms, reviewing imaging, and explaining what to expect before, during, and after the procedure. Our goal is to make the experience as comfortable and stress-free as possible while protecting your long-term dental health. Call us at (323) 269-5437 today to schedule a consultation and get expert guidance on your next steps.

What Wisdom Tooth Removal Candidates in Inglewood Should Know About the Risks and Benefits
At PhD Dental, we help patients in Inglewood understand both the risks and benefits of wisdom tooth removal so they can make informed decisions about their oral health. While this procedure is common, it is still important to evaluate each case carefully based on symptoms, tooth position, and overall dental health. Knowing what to expect allows patients to feel more confident and prepared before moving forward. A clear understanding of both sides helps ensure the best possible outcome.
In addition, wisdom tooth removal can prevent future complications, but like any procedure, it also carries certain risks that should be considered. Evaluating these factors with a dental professional helps determine whether removal is the right step at the right time. Taking a proactive approach often leads to better long-term results. This balance between risks and benefits is key to making the right decision.
Benefits of Wisdom Tooth Removal
Removing wisdom teeth can help prevent a range of dental issues that may develop over time if the teeth are left untreated. Impacted or improperly positioned wisdom teeth can cause crowding, damage to adjacent teeth, and increased risk of infection. Addressing these issues early can help maintain overall oral health. Preventive care often leads to fewer complications.
Additionally, removing problematic wisdom teeth can reduce pain, swelling, and discomfort that may already be present. This can improve daily function and overall quality of life. Early removal may also simplify the procedure and recovery process. Taking action at the right time supports better outcomes.
Preventing Long-Term Dental Complications
Wisdom teeth that do not fully emerge can create pockets where bacteria collect, leading to infection or gum disease. These conditions can become more serious if not addressed promptly. Removing the teeth helps eliminate these risks. Prevention is a key advantage.
Moreover, impacted teeth may damage surrounding bone or nearby teeth over time. Addressing the issue early helps preserve overall dental structure. This approach supports long-term oral health. Proper planning reduces future concerns.
Risks Associated With Wisdom Tooth Removal
Although wisdom tooth removal is generally safe, it is important for patients to understand the potential risks involved. These may include temporary swelling, discomfort, or minor bleeding following the procedure. Being aware of these possibilities helps patients prepare for recovery. Proper care helps minimize these effects.
In addition, more complex cases may involve a slightly higher risk of complications, depending on the position of the teeth and overall oral health. Working with an experienced provider helps reduce these risks. Careful evaluation supports safer outcomes.
Managing Recovery and Healing
Recovery after wisdom tooth removal typically involves a short healing period during which patients should follow specific care instructions. This may include managing swelling, maintaining oral hygiene, and avoiding certain foods. Following these steps helps support proper healing. Good aftercare improves results.
Furthermore, understanding the recovery process helps set realistic expectations and reduces unnecessary concern. Most patients recover without complications when proper care is followed. Preparation plays an important role. This approach supports a smoother experience.
When the Benefits Outweigh the Risks
In many cases, the benefits of removing wisdom teeth outweigh the potential risks, especially when the teeth are impacted or causing symptoms. Delaying removal can lead to more complex issues that require more extensive treatment. Addressing the problem early often results in a simpler procedure. Timing is important.
Additionally, evaluating each case individually helps determine the best course of action. Factors such as age, tooth development, and overall oral health all play a role in this decision. A personalized approach ensures the most appropriate outcome. Careful assessment supports better long-term results.
Importance of Professional Evaluation
A professional evaluation is essential for determining whether wisdom tooth removal is necessary. Dental imaging and clinical exams provide valuable insight into tooth position and potential risks. This information helps guide decision-making. Accurate assessment is critical.
Moreover, working with a dental provider ensures that all factors are considered before proceeding. This reduces uncertainty and helps patients feel more confident in their decision. Professional guidance supports better outcomes.

Signs You May Need Wisdom Tooth Removal in Inglewood
Recognizing the signs that you may need wisdom tooth removal can help you take action before more serious dental problems develop. In Inglewood, many patients experience early symptoms that indicate their wisdom teeth are not coming in properly or are beginning to affect surrounding teeth and gums. Paying attention to these warning signs allows for earlier evaluation and often leads to a simpler, more comfortable treatment process. Addressing issues promptly can help prevent complications and protect long-term oral health.
In addition, wisdom teeth do not always cause immediate pain, which can make it easy to overlook developing problems. Even without severe discomfort, underlying issues such as impaction or infection may still be present. Regular dental checkups and imaging can help identify these concerns early. Understanding common symptoms helps patients know when it may be time to seek professional evaluation.
Persistent Pain or Discomfort in the Back of the Mouth
One of the most common signs that wisdom tooth removal may be necessary is ongoing pain or discomfort in the back of the mouth. This pain may come and go or gradually become more noticeable over time. It often occurs when there is not enough space for the wisdom teeth to emerge properly. This pressure can affect surrounding teeth and cause irritation.
Additionally, discomfort may worsen when chewing or opening the mouth fully, which can interfere with daily activities. Ignoring these symptoms may allow the issue to progress into more serious complications. Early evaluation helps determine the cause and the best course of action. Addressing pain early can prevent more complex treatment later.
Pain That Radiates to the Jaw or Ear
In some cases, wisdom tooth pain may radiate beyond the immediate area and affect the jaw, ear, or even the head. This can create a dull, persistent ache that is difficult to pinpoint. These symptoms often indicate pressure or inflammation caused by impacted teeth. Recognizing this pattern can help identify the underlying issue.
Moreover, radiating pain may be mistaken for other dental or sinus problems, which can delay proper treatment. A professional evaluation helps determine the exact cause. Identifying the source early supports more effective care. This step improves overall comfort and outcomes.
Swelling, Redness, or Gum Irritation
Swelling or redness in the gums near the back of the mouth is another common sign that wisdom teeth may need to be removed. These symptoms often occur when the teeth are partially erupted or trapped beneath the gums. This condition can create irritation and make the area more sensitive. Visible inflammation should not be ignored.
In addition, swelling may make it difficult to clean the area properly, which can increase the risk of infection. This can lead to further discomfort and complications if left untreated. Monitoring changes in gum health helps identify potential issues early. Taking action can prevent worsening conditions.
Difficulty Opening the Mouth Fully
Inflammation caused by wisdom teeth can sometimes lead to stiffness in the jaw, making it difficult to open the mouth fully. This condition, often referred to as limited jaw mobility, can affect eating and speaking. It may also indicate infection or pressure from impacted teeth. Recognizing this symptom is important.
Furthermore, reduced jaw movement can worsen over time if the underlying issue is not addressed. Early treatment helps restore normal function and prevent further complications. Proper evaluation supports a more comfortable recovery. This step improves daily function.
Crowding or Shifting of Nearby Teeth
Wisdom teeth can push against neighboring teeth as they attempt to emerge, leading to crowding or shifting in the dental arch. This movement can affect alignment and may undo previous orthodontic work. Changes in how teeth fit together may be subtle at first but become more noticeable over time. Monitoring these changes is important.
Additionally, crowding can create tight spaces that are difficult to clean, increasing the risk of cavities and gum disease. Addressing the issue early helps preserve alignment and overall oral health. Preventing these changes can reduce the need for additional treatment. Early intervention supports better outcomes.
Changes in Bite or Tooth Alignment
As wisdom teeth continue to grow, they may alter the way your teeth come together when you bite. This can create discomfort or uneven pressure across the teeth. Even minor changes in bite alignment can indicate underlying issues. Paying attention to these shifts is important.
Moreover, untreated alignment changes can lead to long-term dental complications if not addressed. Identifying these changes early helps guide treatment decisions. Proper care supports long-term stability. This approach helps maintain a healthy bite.
Signs of Infection or Bad Breath
Infection around wisdom teeth can occur when bacteria become trapped in hard-to-clean areas, especially around partially erupted teeth. This may lead to symptoms such as bad breath, an unpleasant taste, or visible discharge near the gums. These signs often indicate that bacteria are present and causing irritation. Prompt attention is important.
In addition, infections can lead to more serious complications if left untreated, including increased pain and swelling. Early treatment helps prevent the spread of infection and supports faster recovery. Recognizing these warning signs allows for timely care. Addressing infection early improves outcomes.
Recurring Gum Infections or Sensitivity
Some patients may experience recurring gum infections or increased sensitivity in the area around their wisdom teeth. These repeated issues often indicate that the teeth are difficult to clean or are not positioned properly. Ongoing irritation can affect overall oral health. Monitoring these patterns is essential.
Furthermore, repeated infections can weaken gum tissue and increase the risk of more serious dental problems. Seeking evaluation at the first sign of recurring issues helps prevent complications. Early care supports healthier gums and teeth. This proactive approach improves long-term results.

What Happens During a Wisdom Tooth Removal Procedure
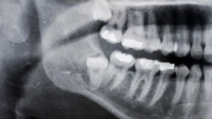
Understanding what happens during a wisdom tooth removal procedure can help reduce anxiety and make patients feel more prepared for the experience. In Inglewood, the process typically begins with a thorough evaluation, including imaging to assess the position of the teeth and surrounding structures. This allows the dental provider to determine the safest and most effective approach for removal. Knowing what to expect at each stage helps patients feel more confident going into the procedure.
In addition, wisdom tooth removal is usually performed as an outpatient procedure, meaning patients can return home the same day. The exact steps may vary depending on whether the teeth are impacted or fully erupted. However, most procedures follow a structured and predictable process. This consistency helps ensure both safety and efficiency during treatment.
Initial Examination and Anesthesia
Before the procedure begins, the dental team will review your medical history and confirm the treatment plan in detail to ensure everything is tailored to your specific needs. This step allows the provider to identify any potential risks, discuss sedation options, and answer any questions you may have before starting. Once everything is confirmed, anesthesia is administered to keep you comfortable throughout the process, which may include local anesthesia, oral sedation, or IV sedation depending on the situation. Proper preparation at this stage helps create a smoother and more controlled experience from the beginning.
Additionally, the type of anesthesia used will depend on the complexity of the case, the position of the wisdom teeth, and your overall comfort level. The goal is to ensure that you feel little to no discomfort during the procedure while remaining relaxed throughout. The dental team will explain how the anesthesia works and what sensations to expect so there are no surprises. This level of communication and preparation helps patients feel more at ease and confident before the procedure begins.
Ensuring Patient Comfort Throughout the Procedure
Patient comfort remains a priority during wisdom tooth removal, and the dental team monitors you closely throughout the procedure to ensure everything remains stable and comfortable. Vital signs may be checked, and adjustments can be made to anesthesia levels if needed to maintain a consistent level of comfort. This continuous monitoring helps reduce anxiety and ensures a safer overall experience.
Furthermore, clear communication before and during the procedure helps patients feel more relaxed and informed. Even though you may be sedated, the team remains attentive to your needs and prepared to respond quickly if necessary. Understanding that you are being carefully monitored throughout the process can significantly reduce stress. This attention to detail helps create a more positive and controlled experience.
Tooth Removal Process
Once anesthesia takes full effect, the dentist or oral surgeon begins the removal process using a careful and methodical approach. If the wisdom tooth is impacted, a small incision may be made in the gum to access the tooth and surrounding bone. In some cases, the tooth may be divided into smaller sections to allow for easier and less invasive removal. This technique helps minimize pressure on surrounding structures and reduces trauma to the area.
In addition, specialized instruments are used to gently loosen the tooth from its socket before it is removed. The provider takes care to protect nearby teeth, nerves, and bone throughout the process. Each step is performed with precision to ensure safety and reduce the risk of complications. This careful approach supports a smoother recovery and better overall outcome.
Managing Impacted Wisdom Teeth
Impacted wisdom teeth require additional steps because they are partially or fully trapped beneath the gums or bone, which makes removal more complex. This may involve removing a small portion of bone to fully access the tooth and ensure it can be extracted safely. The approach is carefully planned based on imaging to minimize disruption to surrounding tissue.
Moreover, managing impacted teeth properly helps prevent complications such as infection, damage to nearby teeth, or prolonged discomfort. Each case is handled individually based on the position and development of the tooth. This personalized approach helps improve outcomes and supports a more controlled healing process. Attention to detail during this stage is critical for long-term success.
Cleaning and Closing the Area
After the tooth is removed, the area is thoroughly cleaned to remove any debris, bacteria, or remaining tissue that could interfere with healing. This step helps reduce the risk of infection and ensures that the extraction site is properly prepared for recovery. Proper cleaning is an essential part of the procedure and contributes to a smoother healing process.
In some cases, stitches may be used to close the incision and support proper healing of the gum tissue. These stitches may dissolve on their own over time or require removal during a follow-up visit, depending on the type used. Closing the area properly helps protect the site from irritation and promotes faster recovery. This step ensures that healing begins in a controlled and stable environment.
Controlling Bleeding and Stabilizing the Site
Once the procedure is complete, gauze is placed over the extraction site to help control bleeding and encourage the formation of a blood clot. This clot plays a critical role in the healing process by protecting the underlying bone and nerve endings. Patients are given clear instructions on how to manage the gauze and what to expect during this stage.
Additionally, stabilizing the site helps prevent complications such as dry socket, which can occur if the clot is dislodged too early. Patients are advised to avoid certain actions, such as using straws or vigorous rinsing, during the initial healing period. Following these instructions closely helps support proper healing and reduces discomfort. This stage is essential for setting the foundation for recovery.
Immediate Post-Procedure Care
After the procedure, patients are monitored briefly to ensure they are stable before being allowed to go home. During this time, the dental team reviews aftercare instructions in detail, including how to manage swelling, discomfort, and oral hygiene. These guidelines are designed to support healing and reduce the risk of complications. Understanding these steps helps patients feel more prepared for recovery.
Furthermore, patients are typically advised to rest and avoid strenuous activity for at least the first 24 to 48 hours. Taking time to recover allows the body to heal more effectively and reduces the likelihood of issues such as increased bleeding or swelling. Following these recommendations helps improve overall outcomes. Proper aftercare plays a major role in recovery success.
Understanding the First 24 Hours
The first 24 hours after wisdom tooth removal are critical for healing, as this is when the initial blood clot forms and the body begins the recovery process. Patients should avoid disturbing the extraction site and follow all care instructions carefully to protect this clot. Actions such as smoking, using straws, or excessive rinsing should be avoided during this time. Protecting the site helps prevent complications.
In addition, managing swelling with cold compresses and following recommended dietary guidelines can significantly improve comfort during this early stage. Soft foods and adequate hydration help support healing without irritating the area. Paying close attention to care during the first day sets the tone for the rest of the recovery process. Proper attention during this time supports faster and more comfortable healing.

How to Prepare for Wisdom Tooth Removal in Inglewood
Preparing for wisdom tooth removal in Inglewood helps ensure a smoother procedure and a more comfortable recovery from start to finish. Taking the right steps before your appointment can reduce stress, minimize potential complications, and improve overall outcomes. Preparation involves both physical readiness and logistical planning so that everything goes as expected on the day of your procedure. Being fully prepared ahead of time allows you to focus on recovery instead of last-minute concerns.
In addition, following pre-procedure instructions from your dental provider plays a critical role in ensuring the procedure is completed safely and efficiently. Each patient may receive slightly different guidance based on their health, medications, and the complexity of the extraction. Understanding and carefully following these instructions helps avoid delays or complications. Proper preparation sets the foundation for a more comfortable experience and a faster recovery.
Pre-Procedure Dietary Guidelines
Patients are often given specific dietary instructions before wisdom tooth removal, especially when sedation is involved. This may include avoiding food and drinks for a certain number of hours before the procedure to reduce the risk of complications during anesthesia. Following these guidelines is essential for your safety and helps the procedure go as planned. Being mindful of these restrictions ensures that your body is properly prepared for treatment.
Additionally, planning your meals ahead of time for after the procedure can make recovery much easier and more comfortable. Since chewing may be limited in the first few days, having soft foods readily available helps you maintain proper nutrition without irritating the extraction site. Preparing in advance eliminates the need to worry about meals while you are recovering. This level of planning supports a smoother healing process.
Foods to Have Ready for Recovery
Preparing soft, easy-to-eat foods ahead of time helps ensure a more comfortable recovery experience during the first few days after surgery. Options such as yogurt, applesauce, smoothies, mashed potatoes, and soups are commonly recommended because they require minimal chewing and are gentle on the extraction site. Having a variety of these foods available helps maintain proper nutrition while avoiding irritation.
Moreover, avoiding hard, crunchy, or spicy foods is important because these can disrupt the healing area or dislodge the protective blood clot. Planning your meals in advance makes it easier to follow dietary guidelines without added stress. This preparation helps reduce discomfort and supports faster healing. A well-prepared diet plays a key role in recovery success.
Medication and Health Considerations
Before the procedure, patients should inform their dental provider about any medications they are currently taking, as well as any existing health conditions. This information allows the provider to plan the procedure safely and determine whether any adjustments are necessary. Certain medications may need to be paused or modified prior to surgery. Clear communication ensures that all precautions are taken.
In addition, following all medication-related instructions helps reduce risks during and after the procedure. This may include guidance on when to stop eating, how to take prescribed medications, or what to avoid before surgery. Carefully following these instructions supports both safety and effectiveness. Being proactive about your health helps create a smoother experience.
Discussing Medical History With Your Provider
Sharing a complete and accurate medical history allows the dental team to take all necessary precautions during the procedure. This includes disclosing allergies, previous surgeries, chronic conditions, and any medications or supplements you are taking. Providing this information helps the provider anticipate potential risks and plan accordingly.
Furthermore, discussing any concerns or questions ahead of time helps patients feel more comfortable and prepared. Open communication allows the dental team to address anxieties and explain what to expect. This level of preparation builds confidence and reduces uncertainty. A well-informed patient is better equipped for a successful procedure.
Planning for Transportation and Recovery
Since sedation is often used during wisdom tooth removal, patients should arrange for someone to drive them home after the procedure. Sedation can impair coordination and alertness, making it unsafe to drive or travel alone. Planning transportation in advance ensures a safe and smooth transition home. This step is essential for patient safety.
Additionally, preparing a comfortable recovery space at home can make a significant difference in your overall experience. Setting up a quiet area with pillows, blankets, medications, and easy access to water and soft foods helps reduce stress after the procedure. Being prepared allows you to rest immediately without unnecessary movement. A well-organized recovery environment supports healing.
Taking Time Off and Managing Responsibilities
Patients should plan to take time off from work, school, or other responsibilities to allow the body to heal properly after wisdom tooth removal. Recovery time may vary depending on the complexity of the procedure, but rest is essential during the initial healing period. Planning ahead helps avoid added pressure or stress during recovery.
Moreover, organizing daily responsibilities in advance, such as childcare, errands, or work tasks, allows you to focus entirely on healing. Reducing physical activity and stress during this time helps prevent complications and supports faster recovery. A well-planned schedule makes the entire process more manageable. Prioritizing rest leads to better outcomes.

Contact an Experienced Wisdom Tooth Removal Surgeon in Inglewood Today
At PhD Dental, we understand that deciding to move forward with wisdom tooth removal can feel overwhelming, especially if you are dealing with pain or uncertainty about the procedure. We work closely with our patients in Inglewood to evaluate their needs, explain every step of the process, and create a treatment plan that supports both comfort and long-term oral health. Our team focuses on providing clear guidance and personalized care so you feel confident from consultation through recovery.
We take pride in offering a supportive and efficient experience while helping you address potential issues before they become more serious. Whether you are experiencing symptoms or simply want a professional evaluation, we are here to help you make the right decision for your dental health. Schedule an appointment online or call us at (323) 269-5437 today to get started.